中国·7790cnm必发集团(股份)有限公司-官方网站
设为首页
|
加入收藏
首页
|
关于我们
|
公司产品
|
科学研究
|
研究生教育
|
员工工作
|
基层党校
当前位置:
首页
>>
研究生教育
>>
教学管理
>>
正文
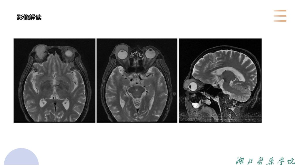
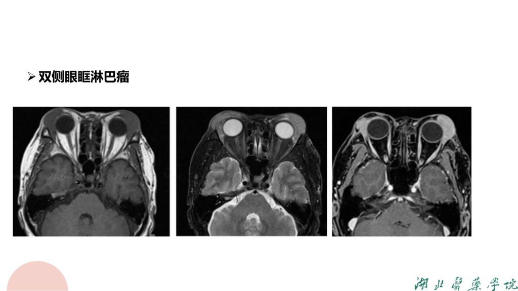
病例分析-眼眶淋巴瘤
2024-06-15 16:10
王婧婧 7790必发集团
附件【
病例分析眼眶淋巴瘤王婧婧.pdf
】
已下载
次
【
关闭窗口
】
热点文章
相关文章
读取内容中,请等待...
版权所有:中国·7790cnm必发集团(股份)有限公司-官方网站
鄂ICP05003342号
电话:0719-8872091 地址:湖北省十堰市人民南路30号 邮箱:442000