#患者姓名:廖**
#性别:女
#年龄:34
#主诉:发现腹腔肿瘤1月余。
#现病史:患者因“间断左上腹撕裂样疼痛”于7.29-30在荆州市第一人民医院就诊,CT检查示:胃-膈肌间隙占位伴钙化,后未行特殊治疗。近1月以来,患者再次出现左上腹撕裂样疼痛1次,程度较剧,持续5-10秒后可自行缓解,无恶心、呕吐,无反酸、嗳气,无腹痛、腹泻,无心悸、胸闷,无呼吸困难等不适。今患者为求进一步诊治,来公司门诊就诊,门诊以"腹腔肿瘤"收住我科。自发病以来,精神食欲睡眠可,大小便正常,体力体重无明显变化。
#既往史:在2016年因“左侧股骨骨折”于竹山县医院行手术治疗,术后恢复可;在2018年因“右侧输卵管宫外孕”于竹山县妇幼保健院行对症处理。对芒果过敏,无药物过敏史。否认高血压、糖尿病、冠心病等慢性病病史,否认乙肝、结核等传染病病史。
#个人史:生于当地,久居当地。否认疫区、疫水接触史。否认毒物,放射性物质接触史。否认烟酒嗜好。
#婚育史:适龄结婚,配偶体健。
#家族史:无家族遗传病史。
#专科及辅助检查
#专科检查:T:36.5℃ P:90次/分R:18次/分BP:105/73mmHg。发育正常,营养中等,神志清楚,表情自然,自动体位,步入病房,检查合作。全身皮肤及巩膜未见黄染,全身浅表淋巴结未触及肿大。双侧瞳孔等大等圆,对光反应灵敏。颈软,气管居中,甲状腺不大。两肺呼吸音清晰,未闻及干湿啰音。心率90次/分,律齐,未闻及病理性杂音。腹平,未见胃肠型及蠕动波,无腹壁静脉曲张;全腹腹肌软,全腹部无压痛及反跳痛,Murphy阴性,肝脾肋下未及;移动性浊音阴性,肝区无叩痛,肠鸣音正常。双下肢无水肿。
#辅助检查结果:
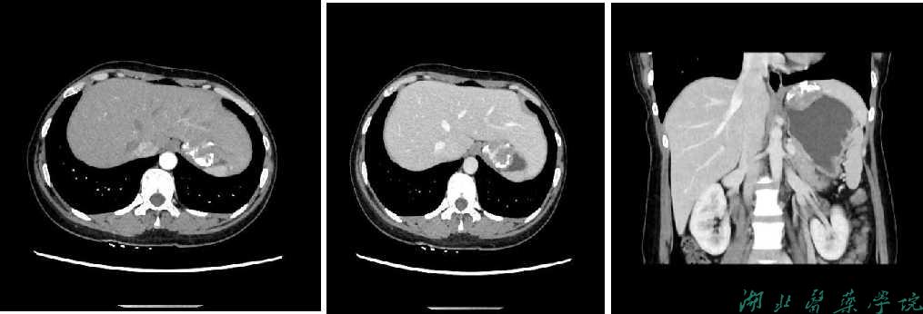
上腹部增强CT示:肝胃间隙内见团块状软组织密度灶,边界尚清,大小约4.1×3.5×3.2cm,病灶内见较多斑片状、环状钙化,增强病灶实性部分呈不均匀渐进性强化,邻近胃壁受压内陷,与邻近肝实质分界欠清诊断:肝胃间隙肿瘤性病变,胃来源?胃间质瘤可能。胃镜下表现为粘膜充血、水肿,散在出血点,诊断为慢性浅表性胃炎。
病理示:肿瘤细胞呈梭形,细胞稀少,伴有大量玻璃样变性的胶原纤维,其内见较多砂砾体样钙化,间质内见散在灶状淋巴细胞、浆细胞浸润(图3)。病理诊断:(胃壁肿块)钙化性纤维性肿瘤,肿瘤大小4.3×3.5×2.5cm。免疫组化:CD117(-),CD34(-),Desmin(-),Ki-67(小于1%+),S-100(-),SDHB(+),SMA(-), SOX10(-),cd38(肿瘤间质内浆细胞+),MUM1(肿瘤间质内浆细胞+),LCA(肿瘤内淋巴细胞+),Vimentin(+)








图1 a)腹部CT增强动脉期;b)门静脉期;c)门静脉期冠状位;d)门静脉期矢状位,可见肝胃间隙软组织密度肿块,肿块边缘钙化,增强呈不均匀渐进性强化。
图2:胃镜下显示粘膜充血、水肿,散在出血点。
图3a)HE×100胶原化的纤维组织伴钙化;b)HE×400梭形卵圆核瘤细胞及炎细胞浸润;c)HE×100瘤周淋巴细胞聚集。
#诊断及鉴别诊断
#诊断:胃钙化性纤维性肿瘤(CFT)
症状:间断左上腹撕裂样疼痛
体征:无明显特殊体征。
辅助检查:CT作为一种无创检查的方式,在诊断肿瘤方面具有许多不可替代的优势:它不仅能清晰显示病变位置,还能准确评价病变与周围组织或器官的关系;本病例肿块主要是呈外生性生长,向胃壁外生长,胃镜无法观察到胃壁向外生长的肿块,CT检查可以从横断面观察胃壁外生性肿块的位置,弥补了这一缺陷,此时CT检查便起到了重要的作用。CFT的特征性表现包括位于肿瘤中央或周围分布的钙化灶,表现为粗大的条状钙化或散在的沙粒样钙化,常常单发,边界清晰,增强扫描呈渐近性轻度至中度强化,增强前后CT特征主要根据胃CFT中梭形细胞、胶原、钙化、纤维成分和淋巴浆细胞炎性浸润的比例来确定。
#鉴别诊断:
胃CFT常与胃间质瘤、胃平滑肌瘤、胃息肉及胃神经鞘瘤相鉴别。
胃间质瘤:胃肠道间质瘤多发于中老年患者,40岁以下患者少见,年龄偏大,在CT表现上钙化少见,少数出现针尖样钙化或散发在瘤体内的微小钙化灶。与胃间质瘤相比,胃钙化性纤维性肿瘤患者更年轻,肿瘤较小,钙化率较高。病理学中CD34和CD117的免疫组化染色可以帮助区分胃CFT与胃间质瘤,胃间质瘤常表现为CD34和CD117阳性。
胃平滑肌瘤:好发于贲门,密度均匀,强化呈轻至中度强化,囊性变及钙化罕见。胃息肉:多发生于胃窦粘膜下层,表现为腔内生长,有蒂,强化明显,少见钙化。胃神经鞘瘤与胃CFT有许多相似的特征,包括多见于胃体,有内生性生长,强化呈渐近性强化,但胃神经鞘瘤少见钙化。
#治疗原则:
胃CFT是一种良性肿瘤,最常见的治疗方法是手术切除。
#总结与思考:
胃CFT是一种罕见的间叶源性良性肿瘤,发病机制尚不明确,多发生于儿童与青少年之中,其中女性稍多于男性,临床表现不典型,常有腹部不适等表现,在影像表现上有一定的特殊性,常呈椭圆形或圆形,常单发,钙化常见,增强呈渐近性强化,边界清晰,对临床诊断起到提示性的作用,最终的确诊还需依靠病理学检查。当CT提示胃肿块并伴钙化时,我们应考虑到此病。
#知识点库
#知识点名称:知识点1:胃钙化性纤维性肿瘤的影像表现
#知识点标签(依据执考大纲):
#易程度(A/B/C):A
#内容(文字、图片描述知识点内容):
CFT的特征性表现包括位于肿瘤中央或周围分布的钙化灶,表现为粗大的条状钙化或散在的沙粒样钙化,常常单发,边界清晰,增强扫描呈渐近性轻度至中度强化,增强前后CT特征主要根据胃CFT中梭形细胞、胶原、钙化、纤维成分和淋巴浆细胞炎性浸润的比例来确定。
#知识点名称:知识点2:胃钙化性纤维性肿瘤的发病机制
#知识点标签:
#难易程度(A难/B中等/C易):A
#内容(文字、图片描述知识点内容):
病因可能包括慢性炎性改变或者创伤,有学者认为食物内容物通过胃肠道,导致局部组织损伤,从而诱发炎症硬化反应,最终导致CFT。有学者提出CFT的浆细胞IgG和IgG4染色呈阳性,这可能提示CFT是IgG4相关疾病;也有学者认为CFT可能是炎性肌成纤维细胞瘤硬化期的表现,还有些学者认为CFT与透明血管型Castleman病有关,并报道了其相关性,但其相关性的原因尚不明确。
#知识点名称:知识点3:胃钙化性纤维性肿瘤的鉴别诊断
#知识点标签:
#难易程度(A难/B中等/C易):B
#内容(文字、图片描述知识点内容):
胃CFT常与胃间质瘤、胃平滑肌瘤、胃息肉及胃神经鞘瘤相鉴别。
胃间质瘤:胃肠道间质瘤多发于中老年患者,40岁以下患者少见,年龄偏大,在CT表现上钙化少见,少数出现针尖样钙化或散发在瘤体内的微小钙化灶。与胃间质瘤相比,胃钙化性纤维性肿瘤患者更年轻,肿瘤较小,钙化率较高。病理学中CD34和CD117的免疫组化染色可以帮助区分胃CFT与胃间质瘤,胃间质瘤常表现为CD34和CD117阳性。
胃平滑肌瘤:好发于贲门,密度均匀,强化呈轻至中度强化,囊性变及钙化罕见。胃息肉:多发生于胃窦粘膜下层,表现为腔内生长,有蒂,强化明显,少见钙化。胃神经鞘瘤与胃CFT有许多相似的特征,包括多见于胃体,有内生性生长,强化呈渐近性强化,但胃神经鞘瘤少见钙化。
#参考资料:
[1]Wang J, Ao W, Mao G, et al . Gastric calcifying fibrous tumors: Computed tomography findings and clinical manifestations. Medicine (Baltimore). 2021 Feb 5;100(5):e23334.
[2]Jia B, Zhao G, Zhang ZF, et al . Multiple calcifying fibrous tumor of the pleura: A case report. Thorac Cancer. 2021 Aug;12(16):2271-2274.
[3]Sotiriou S, Papavramidis T, Hytiroglou P. Calcifying Fibrous Tumor of Small Bowel Causing Intussusception. Clin Gastroenterol Hepatol. 2019 Jul;17(8):e95.
[4]Wei DH, Peng YK, Liu W. Colonic Calcifying Fibrous Tumor. J Gastrointest Surg. 2023 Apr;27(4):838-839.
[5]Larson BK, Balzer B, Goldwasser J, et al. Calcifying fibrous tumor: an unrecognized IgG4--related disease? APMIS. 2015 Jan;123(1):72-76.
[6]Van Dorpe J, Ectors N, Geboes K, er al. Is calcifying fibrous pseudotumor a late sclerosing stage of inflammatory myofibroblastic tumor? Am J Surg Pathol. 1999 Mar;23(3):329-335.
[7]Marbaniang E, Khonglah Y, Dey B, et al. Castleman's disease associated with calcifying fibrous tumor: A rare association with review of literature. J Lab Physicians. 2019 Apr-Jun;11(2):171-173.
[8]Chorti A, Papavramidis TS, Michalopoulos A. Calcifying Fibrous Tumor: Review of 157 Patients Reported in International Literature. Medicine (Baltimore). 2016 May;95(20):e3690.
[9]Pezhouh MK, Rezaei MK, Shabihkhani M, et al. Clinicopathologic study of calcifying fibrous tumor of the gastrointestinal tract: a case series. Hum Pathol. 2017 Apr;62:199-205.
[10]宋沙沙,徐银涛,刘玉波,等.钙化性纤维性肿瘤的影像学表现及临床病理特征[J].医学影像学杂志, 2020, 30(11): 2099-2103.
[11]李璐,王淑妍,邓茜,等.胃钙化性纤维性肿瘤24例临床病理分析[J].临床与实验病理学杂志, 2022, 38(02): 211-213.
[12]Okoronkwo N, Ghavimi S, Chokshi R, Peters S, Ahlawat S. Gastric calcifying fibrous tumor mimicking GI stromal tumor. Gastrointest Endosc. 2018 Sep;88(3):556-558.
[13]Wang J, Zhou X, Xu F, et al. Value of CT Imaging in the Differentiation of Gastric Leiomyoma From Gastric Stromal Tumor. Can Assoc Radiol J. 2021 Aug;72(3):444-451.
[14]Wang H, Zhou T, Zhang C, et al. Inflammatory Fibroid Polyp: An Unusual Cause of Abdominal Pain in the Upper Gastrointestinal Tract a Case Report. Open Med (Wars). 2020 Mar 25;15:225-230.
[15]Wang J, Zhang W, Zhou X,et al. Simple Analysis of the Computed Tomography Features of Gastric Schwannoma. Can Assoc Radiol J. 2019 Aug;70(3):246-253.