#患者姓名:杨**
#性别:女
#年龄:76岁
#主诉:发作性下颌不自主运动约5天 。
#现病史:患者于5天前无明显诱因出现下颌关节不自主活动,伴意识丧失,呼之不应,【知识点1:Dyke- Davidoff- Masson综合征的症状】无双眼上窜,无牙关紧闭,无口吐白沫,无呼吸急促,无口唇紫绀,持续约2小时左右症状自行缓解,神智逐渐恢复,对发作情况不能回忆,无恶心呕吐,无肢体麻木及瘫痪,无大小便失禁。随后前往济民医院就诊,经治疗患者症状未见缓解,近5日来患者反复发作上述症状5次。发病以来,患者精神一般,食欲尚可,无精神行为异常,大小便正常,体力体重无明显改变。
#既往史:既往有糖尿病病史20余年,目前口服二甲双胍缓释片0.5g bid,血糖控制不详;高血压病史20余年,最高血压达180/?mmHg,口服硝苯地平片10mg qd,血压控制不详;否认冠心病病史;否认肝炎结核病史;否认手术;2年前因摔倒致右髋部骨折,行保守治疗。否认食物及药物过敏史。
#个人史:生于当地,久居当地。否认疫区、疫水接触史。否认毒物,放射性物质接触史。否认烟酒嗜好。
#婚育史:适龄结婚,配偶体健。
#家族史:无。
#专科检查:体温36.8℃,脉搏61次/分,呼吸21次/分,血压202/103mmHg。神志清楚,步入病房,查体合作。全身皮肤粘膜无黄染及出血点,浅表淋巴结无肿大,双肺呼吸音清,未闻及明显干湿性啰音,心率61次/分,心律齐,心脏各瓣膜听诊区未闻及明显杂音,腹平软,肝脾肋下未及,双下肢无水肿。神经系统查体:神志清楚,双侧瞳孔等大等圆,直径3mm,对光反射灵敏,双侧眼球各方向运动自如,无明显眼震,双侧额纹鼻唇沟等称,伸舌居中,无舌肌纤颤,发音正常,悬雍垂居中,双侧软腭上抬正常,咽反射正常,双侧转颈耸肩有力,四肢肌力肌张力正常,双侧深浅感觉及共济运动检查无异常,双侧腱反射等称,病理征(-),颈软,双侧克布氏征(-)。
#辅助检查结果:
血常规:
| 检验项目
|
结果
|
单位
|
参考值
|
| 白细胞计数
|
4.04
|
*10^9/L
|
4-10
|
| 中性粒细胞百分比
|
55.8
|
%
|
50-70
|
| 淋巴细胞百分比
|
35.7
|
%
|
20-40
|
| 单核细胞百分比
|
5.6
|
%
|
3-12
|
| 嗜酸性粒细胞百分比
|
2.6
|
%
|
0.5-5
|
| 嗜碱性粒细胞百分比
|
0.3
|
%
|
0-1
|
| 中性粒细胞绝对值
|
2.25
|
*10^9/L
|
2-7
|
| 淋巴细胞绝对值
|
1.44
|
*10^9/L
|
0.8-4
|
| 单核细胞绝对值
|
0.23
|
*10^9/L
|
0.12-1.2
|
| 嗜酸性粒细胞绝对值
|
0.11
|
*10^9/L
|
0.02-0.8
|
| 嗜碱性粒细胞绝对值
|
0.01
|
*10^9/L
|
0-0.1
|
| 红细胞计数
|
4.38
|
*10^12/L
|
3.5-5.2
|
| 血红蛋白
|
135.0
|
g/L
|
110-150
|
| 红细胞压积
|
41.20
|
|
37-47
|
| 平均红细胞体积
|
94.0
|
fL
|
80-100
|
| 平均红细胞HB含量
|
30.8
|
pg
|
27-34
|
| 平均红细胞HB浓度
|
327
|
g/L
|
320-360
|
| 红细胞宽度标准差
|
43.6
|
fL
|
35-56
|
| 红细胞宽度变异系数
|
12.6
|
%
|
11.0-16.0
|
| 血小板计数
|
184
|
*10^9/L
|
100-300
|
| 血小板压积
|
0.175
|
%
|
0.108-0.282
|
| 平均血小板体积
|
9.5
|
fL
|
6.5-12
|
| 血小板体积分布宽度
|
16.1
|
|
15-17
|
| 大型血小板比率
|
23.1
|
%
|
11-45
|
| 大血小板数目
|
43
|
*10^9/L
|
30-90
|
| 全程C反应蛋白
|
1.65
|
mg/L
|
0.00-4.00
|
生化全项:
| 检验项目
|
结果
|
单位
|
参考值
|
| 总胆红素
|
8.3
|
umol/L
|
0-21.0
|
| 直接胆红素
|
2.1
|
umol/L
|
0-6.8
|
| 间接胆红素
|
6.2
|
umol/L
|
0.00-17.0
|
| 总蛋白
|
60.0
|
g/L
|
60-85
|
| 白蛋白
|
32.9
|
g/L
|
35-55
|
| 球蛋白
|
27.1
|
g/L
|
20-35
|
| 白球比
|
1.21
|
|
1.2-2.50
|
| 血清前白蛋白测定
|
176.5
|
mg/L
|
150-380
|
| 天门冬氨酸氨基转移酶
|
13
|
U/L
|
0-35
|
| 丙氨酸氨基转移酶
|
8
|
U/L
|
0-40
|
| γ-谷氨酰基转移酶
|
32
|
U/L
|
0-45
|
| 碱性磷酸酶
|
128
|
U/L
|
35-135
|
| 乳酸脱氢酶
|
196
|
U/L
|
103-227
|
| 总胆汁酸
|
3.4
|
umol/L
|
0-10
|
| 甘胆酸
|
0.9
|
ug/ml
|
0-2.7
|
| 尿素
|
4.1
|
mmol/L
|
1.7-8.8
|
| 尿酸
|
369
|
umol/L
|
155-357
|
| 肌酐
|
63.7
|
umol/L
|
41-81
|
| 尿素/肌酐
|
0.06
|
|
|
| 胱抑素
|
1.27
|
mg/L
|
0.6-1.55
|
| β2微球蛋白
|
3.67
|
mg/L
|
1-3
|
| 钾
|
3.40
|
mmol/L
|
3.5-5.3
|
| 钠
|
147.20
|
mmol/L
|
135-147
|
| 氯
|
109.90
|
mmol/L
|
95-110
|
| 总钙
|
2.03
|
mmol/L
|
2.08-2.6
|
| 无机磷
|
0.99
|
mmol/L
|
0.81-1.65
|
| 镁测定
|
0.70
|
mmol/L
|
0.6-1.1
|
| 二氧化碳
|
28.3
|
mmol/L
|
20-29
|
| 肌酸激酶
|
33
|
U/L
|
40-200
|
| 肌酸激酶同工酶
|
15
|
U/L
|
0-25
|
| α羟基丁酸脱氢酶
|
143.4
|
U/L
|
72-182
|
| 血同型半胱氨酸
|
14.80
|
umol/L
|
0-20
|
| 葡萄糖
|
6.17
|
mmol/L
|
3.9-6.1
|
| 总胆固醇
|
4.34
|
mmol/L
|
2.8-5.68
|
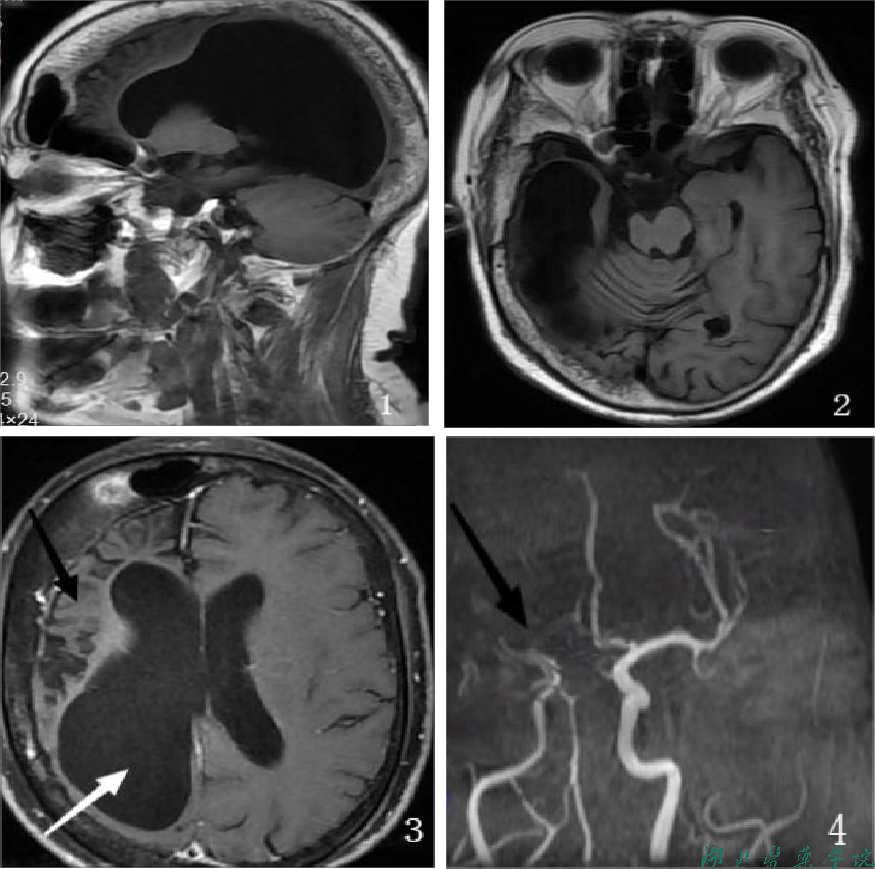
影像报告【知识点2:Dyke-Davidoff-Masson综合征的影像学特征】:(附原始MRI图像,图1、2、3、4)
| 检查项目
|
影像学表现
|
影像学诊断
|
| 磁共振平扫+增强
|
右侧大脑半球皮层及皮层下脑实质体积缩小,右侧残余脑白质T2t1a1信号增高,右侧大脑半球脑沟、裂增宽,右侧脑室明显较对侧扩大,中线结构稍向右侧偏移。右侧额颞顶枕骨板障明显增厚。右侧额窦较对侧明显扩大,其内气化良好。左侧放射冠区见多发斑点状异常信号,T2WI及T2f1a1r是高信号,左枕叶(侧脑室后角下)见一囊状T2WI高信号影,直径约0.9cm。颅内未见明显流空信号团注G-DTPA增强扫描:颅内未见明显导常强化灶。
|
1.戴克-戴维多夫-马森(Dyke-Davidoff-Masson)综合征可能性大。
2.左侧放射冠区多发腔梗。
3.左侧枕叶囊肿。
|
| 检查项目
|
影像学表现
|
影像学诊断
|
| 磁共振血管成像
|
右侧大脑中动脉M1段纤细,远端分支未见显影;左侧大脑后动脉P2段及右侧大脑前动脉A2、A3段中重度狭窄;颅内未见明显异常血管显示。
|
1.右侧大脑中动脉M1段纤细、重度狭窄、闭塞;左侧大脑后动脉P2段及右侧大脑前动脉A2、A3段中重度狭窄。
2.双侧胚胎型大脑后动脉。
|
#诊断:Dyke- Davidoff- Masson综合征:
症状(诊断重要线索):癫痫,肌张力障碍
体征(诊断客观依据):无。
辅助检查(诊断必要条件):①颅脑磁共振提示患者大脑单侧半球萎缩。②有明确颅脑外伤史。
#鉴别诊断:
A. TIA:短暂性脑缺血发作也可出现反复发作神经功能缺损症状,但多表现为同一神经功能支配区,多出现肢体瘫痪,麻木,在2小时内缓解,不遗留神经功能缺损体征。且该病无典型强直阵挛症状,可予鉴别。
B. 癔病:可出现反复发作肢体抖动,但持续时间较长,具有表演性质,无舌咬伤、尿失禁等表现,且为排除器质性病变的排他性诊断,目前不考虑,进一步查脑电图可予鉴别。
#治疗原则:
治疗方案:结合患者临床表现及辅助检查,对于难治性癫痫药物控制效果不佳者可行半球切除术,但可完成对指等精细运动及脑MRI提示左侧半球中央区皮层结构比较完整的患者,可选择多脑叶离断术取得同样的手术效果。
#总结与思考:
1. Dyke-Davidoff-Masson综合征( Dyke-Davidof-Masson syndrome,DDMS)是一种罕见的中枢神经系统疾病,是脑偏侧萎缩的常见病因临床以反复癫发作、面部不对称、一侧肢体偏瘫、智力发育低下及精神异常等为特征。典型影像学表现为单侧大脑半球萎缩、同侧侧脑室扩张、部分脑实质有较大的软化灶、同侧颅骨增生、鼻窦及乳突窦增大等。由Dyke、Davidoff和Masson于1933年首先报道。
2. 临床进程是不对称的大脑半球增长发育,伴有一侧萎缩负占位效应。脑实质容量的减低导致了同侧侧脑室和脑沟扩大。这种适应性改变,其结果导致同侧颅盖骨增厚、以及鼻旁窦增大。
3. 大脑镰移位是DDMS的一种关键性改变
4. Dyke-Davidoff-Masson综合征的病因是什么?
#知识点库
#知识点名称:知识点1:Dyke- Davidoff- Masson综合征的症状
#知识点标签(依据执考大纲):6.1.6
#易程度(A/B/C):A
#内容(文字、图片描述知识点内容):
临床以反复癫发作、面部不对称、一侧肢体偏瘫、智力发育低下及精神异常等为特征
#知识点名称:知识点2:Dyke- Davidoff- Masson综合征的影像学诊断
#知识点标签:6.1.9
#难易程度(A难/B中等/C易):A
#内容(文字、图片描述知识点内容):
典型影像学表现为:单侧大脑半球萎缩、同侧侧脑室扩张、部分脑实质有较大的软化灶同侧颅骨增生、鼻窦及乳突窦增大等。
#参考资料:
[1]Atalar MH,Icagasuoglu D,Tas F.Cerebral hemiatrophy(Dyke-Davidoff-Masson syndrome)in childhood:clinicoradiological analysis of 19 eases[J].Pediatr Int,2007,49(1):70-75.
[2]Park KI, Chung JM, Kim JY. Dyke-davidoff-masson syndrome: cases of two brothers and literature review[J]. J Epilepsy Res, 2014, 4(1):24-27.
[3]Sener RN, Jinkins JR. MR of craniocerebral hemiatrophy[J]. Clin Imaging, 1992, 16(2):93-97.
[4]Tasdemir HA, Incesu L, Yazicioglu AK, et al. Dyke-Davidoff-Masson syndrome[J].Clin Imaging, 2002, 26(1): 13-17.